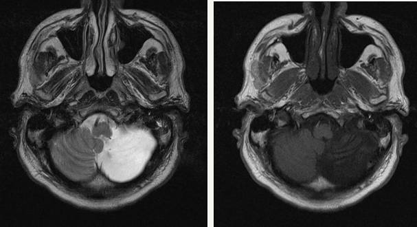
МРТ: головные боли после получения травмы. Постишемические кистозно-атрофические изменения: ишемический инфаркт левого полушария мозжечка в стадии поздней организации
Если болит голова после МРТ головного мозга, нужно попытаться понять причину и устранить провоцирующие факторы. При выраженной цефалгии или появлении неиспытанных ранее ощущений рекомендовано проконсультироваться у специалиста. МРТ головного мозга — один из лучших диагностических методов в выявлении патологических процессов, с помощью исследования можно выяснить причину головокружений, болей, необъяснимых обмороков. Магнитно-резонансное сканирование помогает определить размер и локализацию опухоли, позволяет предположить ее характер (доброкачественный или злокачественный), решить вопрос о необходимости операции и оценить ее объем. МРТ — неинвазивная процедура: на сегодняшний день отсутствуют сообщения о каких-либо неблагоприятных последствиях от ее проведения. В отличии от КТ, использующей для получения снимков рентгеновское излучение, МР-диагностика основана на воздействии магнитного поля и радиоволн. После компьютерной обработки данных рентгенолог получает возможность видеть двух- или трехмерное изображение структур человеческого организма, в том числе, тканей головного мозга. Процедура может выполняться с контрастным усилением или без такового — это решает врач, опираясь на клиническую ситуацию.
Может ли после МРТ болеть голова?
Головная боль после МРТ — распространенное явление, врач проводит диагностику для уточнения причины
Иногда пациенты после прохождения МРТ отмечают появление головной боли, что связывают с выполнением диагностики. Но так ли это на самом деле? Специалисты объясняют цефалгию целым рядом причин:
- Проявление основного заболевания, по поводу которого и проводилось исследование. Болезнь протекает по своим законам, и не всегда можно предсказать момент появления нового симптома. Головная боль — ведущий признак при повышении артериального давления, мигрени, опухолевых процессах. Сходная клиническая картина при воспалительных заболеваниях, неврологической патологии.
- Склонность пациента к тревожности. Некоторые люди настолько сильно страдают от стресса, что у них после МРТ болит голова. Этому способствует проведенная перед исследованием ночь без сна, обезвоживание, ожидание “страшного” диагноза. Методы релаксации, здравый подход, медитация помогают успокоиться и обрести контроль над стрессовой ситуацией, а вместе с этим проходит и цефалгия. Неврологи полагают, что после МРТ имеет место головная боль напряжения, продолжительность ее от нескольких часов до суток.
- Сосудистые нарушения, возникающие в результате переутомления. Сужение просвета артерий и вен на фоне мышечного спазма приводит к кислородному голоданию клеток мозга, что вызывает головную боль после МРТ. Положение усугубляет необходимость лежать неподвижно в замкнутом пространстве в течении 45-60 минут под звуки и шумы работающей аппаратуры. Если заранее попросить беруши, то процедура пройдет более комфортно.
- Побочный эффект от введения контрастного вещества. В ряде наблюдений головная боль появляется после введения контрастирования. Использование гадолиния при МРТ способствует лучшей визуализации мельчайшей патологии головного мозга и позволяет дать оценку, например, аневризме с размерами менее 4-5 мм, метастатическим очагам, участкам демиелинизации при рассеянном склерозе. Неблагоприятные последствия от контрастирования встречаются крайне редко и составляют менее 1%. Головная боль после МРТ не относится к значимым побочным эффектам, а рассматривается как одна из вегетативных реакций. Спустя некоторое время цефалгия разрешается самостоятельно.
- Шейный остеохондроз. Появление головной боли после магнитно-резонансной томографии можно объяснить нарушением кровообращения в сосудах, питающих головной мозг. При шейном остеохондрозе нахождение во время диагностической процедуры около часа в положении лежа на спине с максимальной неподвижностью приводит к усугублению ишемии и провоцирует головную боль. Небольшой массаж шейного отдела и смена позы способствуют улучшению самочувствия.
Продолжительность головной боли после МРТ различна, но, как правило, ее длительность не превышает 1,5-2 часов.
Когда обратиться к врачу
В некоторых случаях при появлении цефалгии необходимо срочно обратиться к врачу, однако дело не в диагностической процедуре. Исследование преимущественно назначают людям, имеющим серьезную патологию или подозрение на нее, с возможностью прогрессирования заболевания. Например, аневризма головного мозга может разорваться с развитием геморрагического инсульта или возникнуть острое нарушение мозгового кровообращения по ишемическому типу. Ряд тревожных симптомов, требующих немедленного обращения за врачебной помощью:
- кинжальная головная боль;
- тошнота и рвота;
- спутанность сознания;
- судорожный синдром;
- провисание уголка рта, опущение века;
- выпадение полей зрения;
- обездвиживание руки или ноги;
- стойкое онемение в половине тела или конечностях на одной стороне.
От быстроты госпитализации и адекватности лечения зависит жизнь больного. В стационаре в этих случаях выполняют КТ головного мозга, которая занимает 5-10 минут и является исследованием выбора в ургентных ситуациях.
Как избежать головную боль после прохождения томографии?
Чтобы чувствовать себя комфортно во время процедуры, не приходите на голодный желудок и не переедайте
Не всегда пациент в состоянии повлиять на развитие головной боли после МРТ, но некоторые меры позволяют минимизировать ее вероятность. Специалисты рекомендуют следующее:
- Перед исследованием за час нужно неплотно перекусить. Голод способствует гипогликемии, что сопровождается головокружением и прочими вегетативными реакциями. Небольшая порция каши, бутерброд со сладким некрепким чаем, фрукты помогут чувствовать себя хорошо. Обильный прием пищи приводит к приливу крови к желудку, что вызывает дискомфорт.
- Перед МРТ важен полноценный отдых. Сон не менее 8 часов в проветриваемом помещении поможет избежать неприятных симптомов.
- Обезвоживание вызывает сгущение крови и спадение сосудов. Позаботьтесь об адекватном питьевом режиме (не менее 1,5-1,8 л воды в сутки). От крепкого чая или кофе лучше воздержаться, так как эти напитки могут привести к приступу гипертонии и развитию болевого синдрома.
- Выберите максимально комфортную одежду без металлических деталей. Сложно лежать на столе томографа в тесных брюках, особенно, если есть лишний вес. Если после диагностической процедуры необходимо вернуться на работу, можно переодеться в клинике в свободный одноразовый халат, а вещи, магнитные карточки, часы, украшения сдать на хранение. Большинство пациентов не испытывают каких-либо проблем со здоровьем после сканирования и в состоянии заниматься привычными делами.
- Не забудьте принимать лекарства, назначенные врачом. МРТ даже с контрастированием — не повод откладывать лечение. Повышение кровяного давления из-за пропущенной ежедневной таблетки может спровоцировать головную боль.
- Не гонитесь за скидками в ночные часы, если после бессонной ночи самочувствие значительно страдает. Пройти МРТ головного мозга дешевле можно, ознакомившись с акциями, многие клиники размещают информацию об их проведении на сайтах.
- Не планируйте исследование после приема алкоголя. Этиловый спирт в больших дозах — яд для организма, злоупотребление спиртными напитками приводит к абстинентному синдрому, который включает головную боль и головокружение.
Если Вы почувствовали себя плохо после МРТ, обязательно поговорите с врачом. Обезболивающие средства можно принимать, если их рекомендовал специалист. Самолечение опасно для здоровья.
Заболела голова после МРТ с контрастом
Контрастирование при МРТ значительно улучшает визуализацию, что облегчает диагностику
Если появились головные боли после МРТ головного мозга с контрастом, не стоит паниковать. Большинству людей, чтобы снять приступ, достаточно отдохнуть и ограничить физическую и умственную нагрузку. В современной диагностике используют препараты на основе хелатов (растворимых солей) гадолиния. Безопасность данного контраста подтверждена многочисленными клиническими испытаниями, серьезные побочные эффекты встречаются менее, чем у 1% пациентов. Головная боль после МРТ рассматривается, как вариант нормы, и, как правило, не требует назначения специального лечения. Симптомы, которые встречаются после диагностики у особенно чувствительных лиц:
- тошнота;
- слабость, утомляемость;
- рассеянность;
- головокружение.
Не стоит отказываться от контрастирования, если на нем настаивает врач. Визуализация сосудов, особенно, при выполнении магнитно-резонансной ангиографии, невозможна без введения парамагнитного препарата.
Усиленная МРТ обоснована для диагностики следующей патологии:
- ишемия/инфаркт головного мозга;
- сосудистые аномалии;
- внутричерепное кровоизлияние;
- доброкачественные и злокачественные опухоли, кисты;
- воспалительные заболевания;
- врожденные мальформации, аневризмы сосудов, сосудисто-синусные соустья;
- последствия травмы;
- причин эпилептических припадков.
МРТ — безопасный способ обследования, поэтому подходит для беременных и детей, но контрастирование этой группе лиц проводится строго по жизненным показаниям. Препараты на основе гадолиния проникают через плацентарный барьер и не должны вводится в первом триместре беременности.
Противопоказания к МРТ
Противопоказания к диагностике включают металлические импланты в теле: кардиостимуляторы, приспособления для инфузии лекарств, инсулиновые помпы, ортопедические конструкции и пр. Магнитное поле может привести к сбою в работе оборудования, а если стружка находится, например, в глазном яблоке, то следствием ожидаема травма, связанная со смещением и нагреванием элемента.
МР-исследование невозможно по техническим причинам при массе тела пациента выше 120 кг, для таких людей есть специальные томографы открытого типа. Физические ограничения, препятствующие положению больного при МРТ — тяжелая дыхательная недостаточность, кифоз (искривление грудной клетки), эти состояния требуют других способов обследования. Маленьким детям, тревожным пациентам с психическими заболеваниями, клаустрофобией МРТ проводят после введения седативных препаратов в профильных стационарах.
Другие побочные эффекты
Головная боль и головокружение после МРТ рассматриваются как вариант нормы и проходят самостоятельно
Определенные биологические эффекты могут быть временно испытаны после МРТ, выполняемой на аппарате с большой мощностью (3-10 Тесла). Они включают диспепсические расстройства, приливы жара, металлический привкус во рту, ощущения покалывания. Головокружение после магнитно-резонансной томографии также рассматривается, как вариант нормы. В месте введения контраста может присутствовать гиперемия (покраснение). В мировой практике нет подтверждения долгосрочных побочных эффектов МРТ даже при использовании максимально мощного магнитного поля. Крайне редко регистрируют аллергические реакции, но на этот случай есть аптечка с необходимыми препаратами для купирования эффектов гиперчувствительности.
Многие пациенты задают вопрос, почему медицинский персонал при МРТ находится в соседней закрытой комнате, если исследование безвредно. Мощное магнитное поле оказывает влияние на все металлические детали в определенном радиусе, в том числе, на одежде врачей. За ходом любой диагностической процедуры техник внимательно наблюдает, в случае ухудшения самочувствия общение осуществляется посредством громкой связи, для чего под рукой у пациента есть тревожная кнопка.
Слухи о вреде магнитного сканирования распространяют несведущие в медицине и физике люди, поэтому доверять стоит проверенным источникам информации. Отказываться от МРТ головного мозга и сосудов при соответствующих симптомах, которые невозможно объяснить прочими методами диагностики, преступно по отношению к своему здоровью. Некоторым пациентам показано выполнение повторных сканирований, чтобы уточнить динамику течения патологического процесса на фоне консервативной терапии или после оперативного лечения. Если диагностика только предстоит — синдром тревожного ожидания — не лучшая тактика на пути к исцелению. Подумайте о том, что у некоторых людей, в том числе с внутримозговыми опухолями, наоборот, головная боль после МРТ исчезает, этот факт пока не нашел объяснения. Раннее выявление патологии — один из важнейших факторов, определяющих жизненный прогноз и возможность выздоровления даже при злокачественных новообразованиях. В других случаях (болезнь Альцгеймера, рассеянный склероз и пр.) своевременное начало терапии позволяет замедлить прогрессирование и максимально долго сохранить приемлемое качество жизни. Если после МРТ болит голова, и цефалгия продолжается несколько суток, свяжитесь с лечащим врачом, который назначит подходящий спазмолитик или анальгетик.
Источник
С какой целью обычно делают МРТ?
МРТ делают для того, чтобы врач получил наглядную картину исследуемой области, оценил состояние органов и окружающих тканей. От этого зависит точная постановка диагноза и выбор метода лечения.
Есть ли разница между мрт и кт? Какое из исследований лучше?
Компьютерная томография — это метод диагностики, при котором снимки получают с помощью рентгеновских лучей, направленных под разными углами. Магнитно-резонансная томография — это трехмерная реконструкция исследуемой области организма, находящейся под воздействием сильного магнитного поля. Действие аппарата основано на поведении атомов водорода в теле человека. В заданных условиях они начинают издавать определенные сигналы, которые улавливаются томографом и преобразуются компьютером в изображение. Снимки можно формировать в различных плоскостях и с необходимой толщиной срезов.
КТ и МРТ – принципиально разные методы, друг другу они не противоречат, и выбор зависит от того, какая область исследуется. КТ–сканирование обычно проводят, если необходимо оценить состояние костной структуры, выявить перелом, опухоль или воспаление, если есть подозрение на черепно-мозговую травму, синусит или отит. Легкие также обычно исследуют на компьютерном томографе. МРТ проводят, если надо исследовать головной мозг, позвоночник и спинной мозг, а также суставы и хрящевую ткань.
Зависит ли результат от МР-аппарата?
До определенной степени – да. Но главное – это профессионализм врача, который потом оценивает снимки. На мощных магнитных томографах изображение выходит более четким, время процедуры сокращается, увеличивается число возможностей. В нашей клинике мы работаем с аппаратом экспертного уровня «GE Signa Echospeed Plus» фирмы «General Electric Medical Systems» мощностью 1,5 Тесла.
Существуют ли какие-либо ограничения для проведения МР-сканирования, например, по весу?
Такие ограничения существуют. Для проведения МРТ в томографе закрытого типа – это вес до 150 килограммов. Диаметр трубы аппарата ограничен. Тучным людям обычно рекомендуют проводить исследования на томографе открытого типа. Информацию об различиях высокопольных аппаратов от низкопольных можно найти на нашем сайте.
Разрешается ли проводить МР-сканирование детям, и существуют ли возрастные ограничения?
Детям МРТ делать можно, даже новорожденным. Но при этом необходимо, чтобы маленький пациент лежал неподвижно, иначе качество снимков ухудшится. Поэтому детям приходится давать седативные препараты или проводить исследование под общим наркозом.
Меня врач направил на мрт из-за частых головных болей. Определится ли их причина после сканирования?
Причины головных болей бывают самые разные. МР-сканирование покажет состояние сосудов мозга и позволит исключить такие опасные состояния, как опухоли, поражения сосудов, гидроцефалию и многие другие. Также это исследование поможет выявить патологии, если они есть. Однако не всегда причинами головных болей бывают заболевания или патологические состояния головного мозга и тканей, его окружающих. В любом случае ваш врач будет иметь самое точное представление о состоянии того или иного органа и сможет подобрать эффективное лечение.
МРТ какой области надо делать, если болит голова?
В идеале необходимо сделать полное обследование, то есть сканирование головного мозга, его сосудов, МРТ шейного отдела позвоночника и сосудов, провести исследование вен мозга и дуплексное сканирование. Тогда специалист сможет быстрее выявить причину недуга и составить полную картину заболевания. В иных случаях достаточно лишь сканирования головного мозга.
Стоит ли делать МРТ при болях в спине?
Да, стоит. Очень часто боли в спине сигнализируют о проблемах с позвоночником. Это могут быть и различные проявления остеохондроза, и компрессионные переломы позвонков, и опухоли различного происхождения, а также какие-либо другие проблемы. МР-сканирование позвоночника очень эффективно при выявлении самых разных его проблем, спинным мозгом и тканями, их окружающими.
У меня было подозрение на позвоночную грыжу. Я сделал рентген позвоночника, грыжу не обнаружили. Стоит ли мне делать МРТ?
Конечно, стоит. Позвоночную грыжу на рентгеновских снимках не видно.
У меня остеохондроз. МРТ поясницы я уже сделал. Стоит ли исследовать и другие отделы позвоночника?
При остеохондрозе в большей степени страдает именно пояснично-крестцовый отдел, так как именно он подвергается наибольшей нагрузке. Однако это заболевание системное, оно распространяется на весь позвоночник. Так что лучше сделать томограмму всех позвонков.
Я хочу пройти курс мануальной терапии. Надо ли мне делать МРТ?
Если это хороший специалист, то он, скорее всего, не станет лечить без томограммы, так как это очень рискованно. Лечение «вслепую» может привести к очень печальным последствиям.
Мне назначено повторное МРТ. Не вредно ли это?
МРТ считается абсолютно безвредной, так как на организм пациента не воздействуют рентгеновские лучи. Действие аппарата основано на поведении атомов водорода в теле человека под воздействием сильного магнитного поля. Так что эту процедуру можно проводить столько раз, сколько потребуется. К тому же состояние позвоночника может измениться даже за небольшой промежуток времени.
Мне сделали операцию и удалили позвоночную грыжу. Надо ли после этого делать МРТ? и если надо, то когда?
В этом случае контрольную томограмму желательно сделать примерно через шесть месяцев после удаления грыжи. Это очень важно для контроля над состоянием позвоночника. Если же боль не ушла или появилась вновь, МРТ сделать уже необходимо. Снимок позволит определить, почему проблема не решилась, выявит повторную грыжу или грыжу другого уровня, определит эпидуральный фиброз (рубцовое сдавливание корешка) и многое другое. Можно сделать МРТ с применением контрастного вещества, это позволит точнее определить природу новообразований, если таковые обнаружатся.
Можно ли делать МРТ живота?
Да, конечно, можно. Это очень эффективный метод исследования органов брюшной полости, а также почек, надпочечников, аорты и сосудов. Хотя с технической точки зрения МРТ живота провести сложнее, чем, например, сканирование головы или позвоночника. Все потому, что изображение получается нечетким из-за дыхания. Поэтому сканирование выполняется с задержкой дыхания или с вдохом и выдохом с определенными равными промежутками, то есть с синхронизацией дыхания. Обычно МРТ делают после УЗИ или КТ для того, чтобы уточнить диагноз и рассмотреть определенный орган или ткань.
Лечащий врач сказал, что мне срочно надо сделать МРТ, но не пояснил, насколько срочно. Как мне понимать такую рекомендацию?
Сложно сказать, что ваш врач имел в виду. Ясно одно – это не исследование по так называемым «жизненным показаниям». Так что около недели в запасе у вас есть.
Стоит ли делать МРТ при гинекологических заболеваниях?
Стоит. МР-сканирование очень эффективно для диагностирования самых разных гинекологических заболеваний, например, миомы матки или кист яичников.
ЧТО ЛУЧШЕ – МР-АНГИОГРАФИЯ ИЛИ ДОППЛЕРОГРАФИЯ?
Смысл этих исследований абсолютно разный, как и способ получения изображения сосудов. МР-ангиография — лучший метод получить изображение сосудов и диагностировать их болезни, но оценить скорость кровотока на разных участках сосуда нельзя. Допплерография, а лучше дуплексное и триплексное исследование на современных аппаратах, напротив, хуже отображает болезни, но зато лучше определяет скорость кровотока. Это важно, так как позволяет оценить питание мозга.
Как надо готовиться к МРТ?
Обычно сканирование не требует какой-либо специальной подготовки. Диета необходима только при отдельных исследованиях, например, при МРТ кишечника. О них пациенту сообщают заранее.
Есть ли какие-нибудь противопоказания к проведению МРТ?
Да, есть. Противопоказаниями считаются:
- наличие в теле пациента специальных медицинских аппаратов (кардиостимуляторов, слуховых аппаратов) или металлических имплантатов;
- сосудистые скрепки после операций на головном мозге;
- инородные тела в глазницах;
- клаустрофобия в стадии обострения.
Есть и так называемые относительные противопоказания, то есть в определенных случаях возможность или невозможность проведения томограммы определяет врач, исходя из соотношения возможной пользы или вреда для пациента. Такими показаниями могут быть:
- тяжелое состояние больного;
- некоторые расстройства психики, например, эпилепсия или шизофрения;
- первый триместр беременности;
- невозможность сохранять неподвижное состояние во время сканирования. Это касается, например, маленьких детей.
Как проходит процедура сканирования?
Пациента кладут на подвижную часть томографа – так называемый стол. На теле закрепляют специальную катушку – принимающее сигнал устройство. После этого подвижная часть медленно перемещается в туннель аппарата. Специалист, который проводит исследование, находится при этом в другой комнате за компьютером. Он наблюдает за пациентом через специальное окно и общается с ним по громкой связи. Если необходимо, пациент должен на время задерживать дыхание.
В некоторых случаях проводят МРТ с применением контрастных препаратов. Это специальные вещества, позволяющие улучшить четкость изображаемого объекта на снимках. Они вводятся в вену пациенту непосредственно перед началом процедуры. Обычно лекарства хорошо переносятся и не вызывают аллергических реакций. Однако если пациент ранее уже страдал от аллергии, ему следует обязательно предупредить об этом врача. Если после инъекции появились побочные реакции: аллергия, тошнота или боль в месте введения препарата, необходимо немедленно сообщить об этом персоналу клиники.
Возникают ли какие-нибудь неприятные ощущения во время МРТ?
Нет, не возникают. Во время работы аппарат издает методический шум. Он может вызвать дискомфорт. Об этом следует сообщить врачу. В этом случае пациенту предложат специальные защитные устройства для ушей.
Сколько времени занимает процедура МРТ?
Все зависит от исследуемой области. Обычно от 10 минут и до часа. Никаких побочных эффектов сканирование не вызывает. После томографии пациент может перейти к обычному образу жизни.
Сколько мне придется ждать результатов после проведения МРТ?
О точном времени вам сообщит лечащий врач. Сначала снимки должны быть проанализированы, составлен протокол исследования и выдано письменное заключение. Время обработки результатов зависит от целей исследования. Если это необходимо, результаты могут напечатать на пленке или записать на электронный носитель.
Источник




