Чаще всего мы не обращаем внимания на головные боли, не придаем значения частоте их возникновения. Каждый раз мы принимаем таблетки, не задумываясь, что это всего лишь способ на время снять дискомфортные болезненные ощущения. Головная боль — это такой же признак проблем со здоровьем, как жар при простуде или боль в животе при заболеваниях ЖКТ.
Процедура МРТ при головных болях
У головных болей может быть разная природа и разные причины. И для того чтобы получить ответ на вопрос пациента: «Почему у меня болит голова?», — доктор должен дать направление на диагностику и назначить обследования.
В качестве основного метода диагностики используются МРТ и КТ:
- МРТ (магнитно-резонансная томография) — это процедура, которая дает полное представление о состоянии исследуемой части тела пациента, а также о наличии или отсутствии того или иного заболевания. При МРТ четкие снимки получаются за счет обследования организма человека посредством воздействия магнитного поля.
- КТ (компьютерная томография) — это метод диагностики, который также дает четкое изображение обследуемой области, но посредством воздействия на нее рентгеновских лучей, направляемых под разными углами.
Зачем делать МРТ головы при головных болях?
МР-томография диагностирует: наличие или отсутствие опухолей головного мозга, нарушений мозгового кровообращения, поражений сосудов (например, аневризмы), последствий ряда заболеваний и инсульта. Обследование дает информацию о наличии или отсутствии серьезных болезней, признаком которых являются хронические или периодические головные боли.
Если у вас болит голова, то врач даст направление на МРТ или КТ. Данные обследования позволяют получить подробную информацию о патологиях, если они есть, но не всегда дают информацию о причинах возникновения болей в голове. При необходимости специалист должен провести более подробное обследование пациента.
Диагностика мигрени при помощи МРТ
Сильные и продолжительные головные боли с одной стороны головы (реже — с обеих), которые сопровождаются такими симптомами, как раздражение, плохое самочувствие, тошнота, рвота и прочее, могут указывать на мигрень или на заболевания головного мозга, которые имеют схожую симптоматику.
МРТ при мигрени назначают для выявления патологий сосудов головы, структурных изменений головного мозга, органических поражений тяжелых форм и прочих патологий.
Что покажет МРТ при мигрени? Приступ мигрени выражается в расширении сосудов в мозге, после чего случается резкий (и болезненный для человека) спазм. МР-томограф фиксирует нарушения кровотока (при приступах) и отражает ишемические очаги, появляющиеся в большом количестве.
Какую МРТ нужно делать при головной боли?
Обследование должно быть максимально полным, чтобы врач мог составить оптимальный план по решению проблемы и выяснить, почему у пациента болит голова. Одно из первых и основных исследований — это МРТ головного мозга.
Если оно не дает необходимой картины по проблеме, то может быть назначена , а также: МРТ шейного отдела позвоночника
- ультразвуковое дуплексное сканирование сосудов шеи;
- суточное мониторирование артериального давления и ЭКГ;
- анализы крови и мочи.
Какую МРТ или другой метод диагностики потребуется сделать при головных болях, определяет врач после сбора анамнеза и первичного осмотра пациента.
Определяемые типы головной боли
Головная боль бывает разной и возникает при разных обстоятельствах, а также характеризуется различной симптоматикой.
Синусная боль
Данный тип боли появляется по причине воспаления в носовых пазухах, для которого характерны насморк и заложенность носа, отек слизистой. При этом начинает болеть лоб и вся зона вокруг носа. Синусная боль исчезает, когда проходит причина ее возникновения — воспаление.
При нарушении кровообращения в мозгу
Нарушение мозгового кровообращения может носить острый или хронический характер и сопровождаться головными болями. При разной клинической картине это может быть острая боль в голове и глазных яблоках или боль вместе с головокружением, тошнотой, плохим сном и т.д.
После поражения мозговых тканей
Данный тип головной боли возникает после травм (при травмах поверхностных тканей), кислородного голодания тканей, при скоплении жидкости в тканях и пр. Мягкие ткани головного мозга имеют большое количество нервных окончаний. Болезненность часто возникает на поверхности головы и может носить неврологический характер.
При остеохондрозе шеи
При остеохондрозе головная боль появляется в шее и в затылке, а потом переходит в одну из половин головы. Боль может различаться по интенсивности и носить разный характер, а также сопровождаться головокружением и тошнотой.
Как проводится МРТ головного мозга?
Для проведения процедуры пациент ложится на стол-транспортер, который заезжает в томограф — сканирующее устройство. На время обследования пациент остается в трубе и должен сохранять неподвижность, чтобы картина получилась четкой. Процедура может занимать разное время — от 15 минут.
Особой подготовки к не требуется, но необходимо предупредить врача, если у вас клаустрофобия (это может послужить противопоказанием к проведению процедуры). Если во время МРТ вы почувствуете недомогание, то об этом можно будет незамедлительно сообщить специалисту, проводящему процедуру МРТ головы.
Головные боли после МРТ: что делать?
На сегодняшний день МРТ считается одной из самых безопасных диагностических методик, но в некоторых случаях пациенты жалуются на возникновение сильной боли в затылке или макушке. Иногда человека тошнит, кружится голова.
Данная симптоматика возникает в силу индивидуальных особенностей организма и повышенной чувствительности к воздействиям подобного рода. Обычно симптомы носят временный характер и проходят в течение суток. При необходимости врач может дать рекомендации для того, чтобы снять симптомы.
Источник
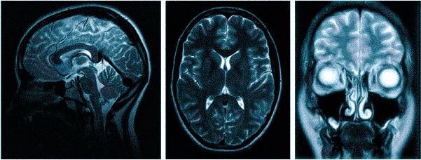
МРТ при головных болях (в трех проекциях): специальная программа выстраивает объемные изображения полученных срезов, что позволяет увидеть даже мельчайшие изменения и отдифференцировать патологию от нормы
Причин головной боли множество, и их не всегда возможно определить без помощи современных способов визуализации. Цефалгию вызывают: повышенное внутричерепное давление, сосудистые мальформации, опухолевые процессы, постравматические осложнения. Какую МРТ делать при головной боли или предпочтительней пройти КТ — зависит от предполагаемого характера патологии. Все методы являются взаимодополняющими, но что лучше в конкретном случае, выбирает врач с учетом жалоб, показаний и противопоказаний. МРТ и КТ с контрастным усилением позволяют получить сопоставимые по качеству снимки, но при этом используют разные принципы построения изображений. Чем раньше будет найдена причина и проведено адекватное лечение, тем больше шансов на полное выздоровление.
Какую МРТ делать при головных болях?
Выделяют несколько видов магнитно-резонансной томографии головы: нативную, усиленную контрастным препаратом и сканирование в ангиорежиме. К каждому исследованию есть свои показания, поэтому ответить на вопрос: “Какую МРТ делать при головной боли?” — не всегда возможно. Врач выбирает нужный тип диагностики, опираясь на клиническую картину. В оценке опухолевых новообразований и для определения стадийности (в том числе — метастатического распространения) используют МРТ с контрастированием. Введение препаратов на основе хелатов гадолиния позволяет рассмотреть даже небольшие опухоли в труднодоступных местах, поэтому магнитное сканирование с усилением с успехом применяют, если прочие способы визуализации показали неоднозначные результаты. При подозрении на сосудистое заболевание головного мозга оптимальным выбором будет проведение сканирования в ангиорежиме.
Причины головной боли
Необъяснимая цефалгия, возникающая регулярно и ухудшающая качество жизни не есть норма. Сильная боль -веский повод сделать МРТ головного мозга и не заниматься самолечением
Любая повторяющаяся головная боль — сигнал о патологическом процессе, который требует уточнения. Принимать самостоятельно таблетки для купирования симптоматики — не самый разумный вариант, потому что препараты устраняют следствие, но не влияют на причину цефалгии. Бесконтрольное лечение имеет ряд осложнений: доказано, что некоторые анальгетики способствуют развитию злокачественных новообразований в почках и мочевом пузыре. Длительный прием лекарств может привести к нефропатии с гибелью ренальных структур и развитию ХПН (хронической почечной недостаточности).
Если болит голова, что может показать МРТ головного мозга:
-
опухолевые процессы доброкачественного или злокачественного генеза;
-
последствия травм (гематомы, кровоизлияния);
-
демиелинизацию при рассеянном склерозе и иных атрофических процессах;
-
инфекционные поражения;
-
аневризмы, диссекции, стенозы и сосудистые мальформации, включая врожденные аномалии развития кровеносного русла;
-
дегенеративные процессы в сосудах на фоне генерализованного атеросклероза;
-
острые (ишемический или геморрагический инсульт) и хронические нарушения мозгового кровообращения.
Причиной ноющей боли в затылочной зоне при нормальном артериальном давлении чаще является остеохондроз. При повышении температуры, выраженной слабости, напряжении мышц необходимо исключить менингит. Внезапное развитие острого болевого синдрома в области затылка с последующим его распространением на другие зоны головы подозрительно на субарахноидальное кровоизлияние (разновидность инсульта).
Частые головные боли
Онкологи считают, что при нарастающих головных болях с прочими необъяснимыми симптомами (обмороками, ухудшением памяти, выпадением полей зрения, давлением на глазные яблоки и др.) в первую очередь следует исключить опухолевую патологию
Частые головные боли вызывают разные причины. Иногда так проявляется серьезное заболевание. В 90% случаев после определения генеза возможно адекватное лечение, которое улучшит качество жизни. Состояния, для которых типична цефалгия::
-
мигрень;
-
гипертония;
-
посттравматические осложнения;
-
опухоли;
-
сосудистые заболевания.
Если причина не установлена, обосновано прохождение МРТ головы при головных болях. Не стоит подозревать у себя смертельную патологию. Например, если болит затылок, возможной причиной является переутомление, а нормализация режима труда и отдыха поможет справиться с проблемой. При повышенном давлении часто присутствует головокружение, покраснение кожных покровов, шум в ушах. Боль в лобной части головы вторична и проходит после приема гипотензивного лекарства. Но гипертония может быть связана с патологией сосудов или опухолевой компрессией, поэтому прохождение МРТ при сильных головных болях — важный аспект в дифференциальной диагностике.
Если делать МРТ, когда не болит голова
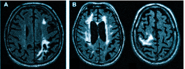
Множественные ишемические очаги при сосудистой деменции на МРТ: отсутствие памяти на недавние события и неадекватное поведение не являются признаками старости, своевременная диагностика деменции и патогенетическая терапия помогут замедлить прогрессирование болезни
МРТ — обследование, которое проводят не только при головной боли. Магнитно-резонансная томография поможет установить причины следующих жалоб:
-
необъяснимые с помощью первичной диагностики кратковременные потери сознания;
-
мелькание мушек перед глазами, прогрессирующее ухудшение зрения (в составе комплексной офтальмологической диагностики);
-
повышение артериального давления, устойчивость к приему гипотензивных препаратов;
-
периодическая тошнота, рвота при обнаружении изменений глазного дна (признаки повышенного внутричерепного давления);
-
эпилептические припадки;
-
ухудшение памяти, слабоумие (деменция);
-
постоянный шум в ушах;
-
дискоординированность движений (шаткая походка, подволакивание нижних конечностей и пр.);
-
головокружение.
Врач определяет не только вид обследования, но и его объем. Иногда требуется дать оценку не только структурам мозга, но и воротниковой зоны: голова может кружиться и болеть при шейном остеохондрозе, грыже, воспалении нерва и пр.
МРТ головного мозга — необходимость при некоторой эндокринологической патологии, так как гормональные нарушения могут быть обусловлены сдавлением опухолью важных структур, отвечающих за деятельность желез. Томограммы показывают изменения со стороны гипоталамуса и гипофиза. МРТ при головных болях и головокружении, при подозрении на опухоль или сосудистые патологии можно пройти в диагностическом центре “Медицина Северной столицы”.
Виды головной боли
Боль при шейном остеохондрозе изначально возникает в затылке, а по мере прогрессирования патологии распространяется на лобно-височную область головы
Болевой синдром при различных патологиях имеет разную интенсивность, локализацию, длительность и может сопровождаться рядом других неприятных симптомов: тошнотой, выпадением полей зрения, потерей сознания и пр. Цефалгия развивается самостоятельно или сопутствует какому-либо состоянию. Специалисты едины во мнении: если регулярно беспокоит ноющая, мигренеподобная, распирающая и другая головная боль в темечке, затылке, висках, следует обратиться на очную консультацию и пройти первичную диагностику:
-
общий анализ крови;
-
тонометрию (измерение артериального давления);
-
УЗДГ сосудов головы и шеи;
-
рентгенографию костей черепа.
Не всегда данные обследования способны выявить органическую причину, поэтому возникает необходимость сделать МРТ головы. Томограммы позволяют предположить доброкачественный или злокачественный генез поражения, но окончательная верификация диагноза происходит только при морфологическом исследовании (кусочек ткани с подозрительного участка оценивают гистологи под микроскопом).
Головная боль после МРТ
Не стоит бояться прохождения обследования: страхи иррациональны, а головная боль после МРТ — реакция на стресс или симптом заболевания, по поводу которого и проводится диагностика
МРТ — неинвазивный способ обследования, в основе которого лежит построение изображений с помощью радиоволн и мощного магнитного поля, что абсолютно безопасно для здоровья. Головные боли после МРТ могут обуславливаться нервным перенапряжением в ожидании результата и являются индивидуальной реакцией человека на стрессовую ситуацию. Магнитно-резонансное сканирование длится около 30-40 минут, важна максимальная неподвижность пациента. Шум работающей аппаратуры по желанию можно нейтрализовать с помощью наушников с музыкой. Каких-либо болевых ощущений в ходе диагностической процедуры нет. При необходимости отслеживания ситуации в динамике возможно повторное прохождение МРТ. Некоторые впечатлительные пациенты отмечают усиление головной боли после исследования, но специалисты считают, что это связано с основным заболеванием или самовнушением. Цефалгией функционального или психогенного генеза занимаются неврологи, психиатры или терапевты, МРТ помогает установить изменения органического характера.
Что покажет МРТ головы с контрастом
После контрастирования при МРТ детализация мелких структур значительно выше. Магнитно-резонансную томографию с усилением предпочитают онкологи, так как можно увидеть контуры опухоли, определить степень ее инвазии (прорастание в близлежащие ткани), диагностировать метастазы. МРТ с введением контраста лучше показывает изменения после операции, патологические очаги в головном мозге на фоне рассеянного склероза, при болезни Альцгеймера. Чаще используют препараты на основе хелатов гадолиния. Мировая практика подтверждает высокий профиль безопасности: при грамотном применении осложнения встречаются крайне редко.
В каких случаях противопоказаны МРТ и КТ
МРТ и КТ не назначают на раннем сроке гестации (до 12 недель), но если есть веские показания (состояния, угрожающие жизни), обследование по направлению консилиума возможно. Магнитно-резонансное сканирование противопоказано, если ранее выполнены операции по установке электронных устройств или ферромагнитных имплантов. Относительное ограничение для диагностической процедуры — клаустрофобия или невозможность в силу каких-либо причин лежать неподвижно. Этим пациентам МРТ при головной боли и головокружении выполняют в стационаре с предварительным введением лекарств, способствующих седативному сну.
КТ с контрастным усилением проводят только по направлению, так как противопоказаний к данному обследованию, по сравнению с МРТ, больше:
-
аллергия на йод;
-
сахарный диабет (прием Метформина и аналогов);
-
гиперфункция щитовидной железы;
-
заболевания почек с повышением уровня креатинина крови;
-
беременность на любом сроке.
Пациентам, страдающим сахарным диабетом, следует прекратить прием Метформина за 48 часов до диагностической процедуры, по предварительному согласованию с эндокринологом. Кормящим мамам рекомендуют сделать запас молока на два последовательных кормления.
Современные способы визуализации в большинстве наблюдений дополняют друг друга, МРТ или КТ делать при головной боли, зависит от конкретной ситуации. Чтобы избежать ненужной диагностики, лучше, если исследование выберет врач.
Источник
Магнитно-резонансная томография (сокращенно МРТ) является на сегодняшний день самым информативным неинвазивным, то есть не инъекционным и не хирургическим, методом исследования различных органов, в том числе головного мозга. Проводится процедура с помощью безопасных радиочастотных импульсов, они «сканируют» нужную область и передают на компьютер изображение, по которому врач определяет структуру органа, наличие морфологических изменений. Частые головные боли, нарушение зрения или слуха, неврологические проблемы – все это прямые показания к МРТ головного мозга.
Иногда обследование проводится с дополнительным введением контрастных веществ, содержащих гадолиний. Другие методы диагностики используют контрасты с содержанием йода, которые чаще приводят к аллергическим реакциям.
МРТ головного мозга
Показания
Обычно МРТ головного мозга назначают, когда пациент жалуется на частые боли и шумы в голове, сопровождаемые тошнотой и рвотой. Но есть и ряд других симптомов, при наличии которых назначают обследование. Это могут быть острые, недавно появившиеся симптомы или же хронические, которые преследуют человека уже не один месяц.
Основные показания:
- регулярные головные боли или острые болевые ощущения, сопровождаются температурой, слабостью, тошнотой и рвотой;
- заболевания носоглотки, различных пазух носа;
- черепно-мозговые травмы;
- частые носовые кровотечения;
- головокружения;
- частые обмороки;
- нарушения в работе эндокринной системы;
- резкие скачки артериального давления;
- эпилепсия и судорожные припадки;
- церебральный атеросклероз;

- нарушения слуха, звон в ушах;
- подозрения на опухоль;
- инфекционные заболевания, которые затрагивают головной мозг;
- нарушения зрения, в том числе когда у человека двоится в глазах;
- нарушения речи;
- появление заторможенности;
- ухудшение или потеря (частичная, полная) памяти.
В каких случаях назначают обследование с контрастом, а когда вводить препараты не требуется, определяет врач.
Следует учесть, что при хронических заболеваниях почек, прежде чем проводить МРТ с контрастом, надо сделать лабораторный анализ крови.
Противопоказания
Магнитно-резонансная томография мозга имеет и свои противопоказания. Они делятся на абсолютные и относительные. Поскольку МРТ дает структурную картину органа, при наличии относительных противопоказаний проведение обследования иногда считается допустимым.
Ни в коем случае МРТ нельзя делать при наличии в организме некоторых медицинских деталей (это может вызвать кровотечения и другие патологические изменения):
- кохлеарных имплантатов;
Протез для компенсации потери слуха
- кровоостанавливающих клипс для сосудов головного мозга;
- имплантированных нейростимуляторов;
- электронных устройств (кардиостимулятора, электронных и ферромагнитных имплантатов среднего уха);
- металлических винтов, пластин, скоб в черепе;
- ферромагнитных осколков.
К относительным противопоказаниям относятся:
- наличие имплантированных инсулиновых насосов;
- наличие кровоостанавливающих клипс, которые размещаются вне области головы;
- беременность;
- наличие неферромагнитных имплантатов;
- болезни сердца;
- некоторые виды татуировок (с использованием металлосодержащих красителей);
- боязнь замкнутого пространства.
Девушка страдает клаустрофобией
Несмотря на отсутствие данных о вреде МРТ для беременных и будущего ребенка, женщинам в положении надо обязательно сообщить медикам о том, что они вынашивают плод.
Некоторые врачи не рекомендуют делать МРТ при беременности, особенно в период первого триместра.
Обследования с контрастом таким пациенткам противопоказано тем более. Предупреждают врачи и кормящих мам: после проведения процедуры с контрастом ребенка лучше не кормить грудным молоком в течение суток.
Когда и зачем назначают?
Проводят такое обследование не только при появлении симптомов различных заболеваний или когда человек чувствует себя плохо. МРТ дает медикам нужную информацию при малейших подозрениях на наличие опухолей или же назначается дополнительно после проведенных на голове или шее операций.
Зачем направляют на МРТ, каковы медицинские показания:
- опухолевые заболевания;
- инсульт;
- наличие гематом и переломов после ушибов;
- тромбозы;
- аневризмы;
Аневризма головного мозга
- накопление в полостях спинномозговой жидкости.
МРТ также дает врачам понять, какие области мозга могут плохо функционировать и нуждаются в лечении. Во время функциональной томографии пациент обычно отвечает на вопросы доктора или же по его просьбе делает движения руками и пальцами. Это помогает лучше понять характеристику мозговых процессов.
Существуют несколько вариантов проведения процедуры. В некоторых клиниках используют томограф закрытого типа. Пациент ложится на специальный стол, который задвигают в пространство, окруженное магнитом. Применяют и томограф открытого типа, который выглядит более компактно и не доставляет пациентам психологического дискомфорта. Это актуально для людей с избыточным весом или серьезными переломами, детей, пожилых граждан, а также в случае, когда пациент страдает клаустрофобией. Такие аппараты более современны и обладают сегодня той же точностью, что и закрытые томографы.
Что определяет?
Обследование с помощью магнитно-резонансного томографа выявляет десятки заболеваний. На основании полученных данных врачи принимают решение о лечении.
Что можно определить и найти с помощью МРТ:
- аномалии сосудов головного мозга: сужения, замедленный или ускоренный рост, расширения;
- выбухания в кровеносных сосудах – аневризмы;
- прединсультное состояние, а также очаг инсульта: врачи находят, в какой части мозга произошла «закупорка» сосудов;
Ишемический инсульт
- аномальные изменения, из-за которых пациент страдает эпилепсией, нервными и психическими припадками, проблемами с памятью, нарушениями речи, двигательными расстройствами;
- накопление спинномозговой жидкости – гидроцефалию;
- дегенеративные изменения в тканях мозга, которые появляются при слабоумии;
- болезнь Альцгеймера;
- интракраниальные опухоли;
- инфекционные поражения мозга и носоглотки;
- любые воспалительные процессы;
- васкулит;
- новообразования в различных частях лица, головы и шеи;
- для выявления причины артериальной гипертензии;
- изменения после черепно-мозговой травмы, когда необходимо определить степень травмы;
- причину мигреней;
- изменения, которые привели к зрительным и слуховым нарушениям;
- атеросклероз;
- демиелинизирующие заболевания нервной системы, в частности, рассеянный склероз.
Что происходит при рассеянном склерозе?
Процедура является безопасной, но есть определенные риски: может появиться аллергия на контрастное вещество, нарушение работы почек, а при проведении процедуры седации есть вероятность, что возникнут побочные эффекты.
Риски при проведении МРТ оцениваются как минимальные. При этом сама процедура остается очень востребованной и часто является необходимой, так как дает сведения, которые практически невозможно получить другими методами визуализации.
Source: diagnostinfo.ru
Источник






